DWGKAIZEN ODONTOLOGIA      Ligue agora

                  Dr. Fernando Ferreira Neto                                                         4156-1685

DENTíSTICA

CÁRIE  é uma outra forma de se denominar a deterioração do dente. A deterioração do dente é fortemente influenciada pelo estilo de vida do indivíduo – a alimentação, a higienização dos dentes, a presença de flúor na água ingerida e o flúor no creme dental. A hereditariedade também tem um papel importante na predisposição para os dentes se infectarem pela cárie.
A cárie constitue numa DOENÇA e se não for tratada pode destruir o dente e matar/infeccionar os nervos na parte interna (canal), o que pode resultar em um abscesso, uma área de infecção na ponta da raiz. Uma vez formado o abcesso, ele só pode ser tratado através do tratamento do canal (endodontia), de cirurgia ou da extração do dente.
 As cáries se desenvolvem embaixo da superfície do dente, onde não se pode vê-las. Quando ingerimos alimentos que contenham carboidratos (açúcar e amido), estes carboidratos são digeridos pelas bactérias da placa, produzindo ácidos que corroem o interior do dente. Com o tempo, o esmalte do dente começa a fraturar por debaixo da superfície, enquanto a parte externa permanece intacta. Quando uma quantidade suficiente de esmalte sob a superfície já tiver sido destruída, a superfície se desmorona, expondo a cavidade de cárie.
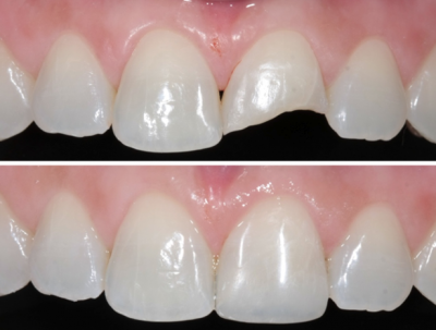
 O tratamento da cárie é através da remoção de todo tecido dental infectado, adequação das paredes internas com medicações especificas para este fim e posterior restauração com RESINA (estética, na cor do dente), AMALGAMA (liga de prata) ou OURO (não muito utilizado nos dias atuais).

Compartilhe